"말기 황반변성 치료 기술의 진전 보여줬다"
|
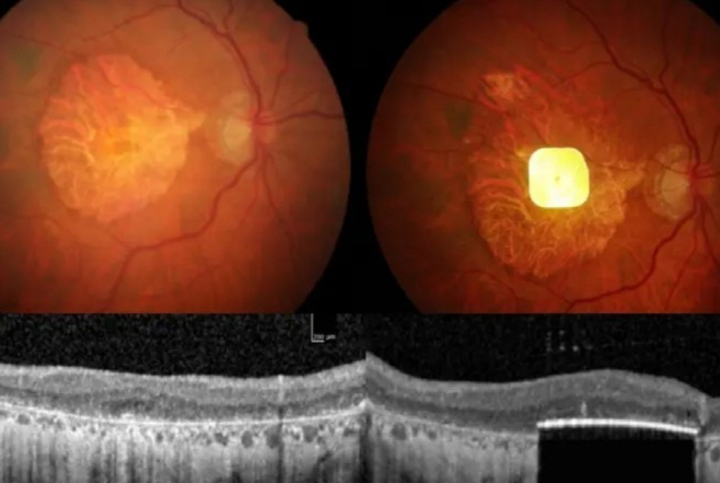
영국·프랑스·독일·이탈리아·네덜란드의 실명 환자 38명은 미국 바이오테크 기업 사이언스가 개발한 '프리마(Prima)' 광전 마이크로칩을 망막 아래에 이식했다. 이들은 건성 황반변성(지리적 위축증·GA)으로 중심 시력을 잃었던 환자들이다.
이 칩은 머리카락 굵기 수준의 2㎜ 초소형 광전 소자로, 환자들은 수술 후 비디오카메라가 장착된 특수 안경을 착용한다. 카메라는 적외선 신호로 영상을 변환해 칩에 보내고, 이 신호는 휴대용 프로세서를 거쳐 강화된 이미지로 뇌에 전달된다.
임상시험 결과, 32명 중 27명이 다시 글자를 읽을 수 있을 정도의 중심 시력을 회복했다고 연구진은 밝혔다. 환자들은 새로운 영상 신호를 해석하기 위해 수개월간 시각 재활 훈련을 병행했다.
임상시험 영국 책임자인 마히 무킷(런던 무어필즈 안과병원) 전문의는 "이들은 책 읽기, 글쓰기, 얼굴 인식이 불가능했던 환자들"이라며 "실명 환자가 유의미한 중심 시력을 되찾은 것은 인공 시력 역사에서 중요한 진전"이라고 평가했다. 연구 결과는 뉴잉글랜드 저널 오브 메디신(NEJM)에 발표됐다.
환자들의 체감 변화도 소개됐다. 70세 참가자 실라 어빈은 "처음엔 아무것도 보이지 않았지만, 글자의 윤곽이 보이기 시작한 순간 삶이 돌아왔다"고 말했다. 다만, 특수 안경 의존도·집중도 부담 등 실사용 제약도 존재한다고 현지 매체들은 전했다.
프리마 임플란트는 아직 정식 상용화 단계가 아니며, 허가·비용·장비 접근성 등이 향후 과제로 지적된다. 무킷 전문의는 "수년 내 영국 국민보건서비스(NHS)에 적용되길 바란다"고 밝혔고, BBC는 "선천적 실명 환자에게는 시신경 구조상 효과가 제한적일 수 있다"고 보도했다.














